
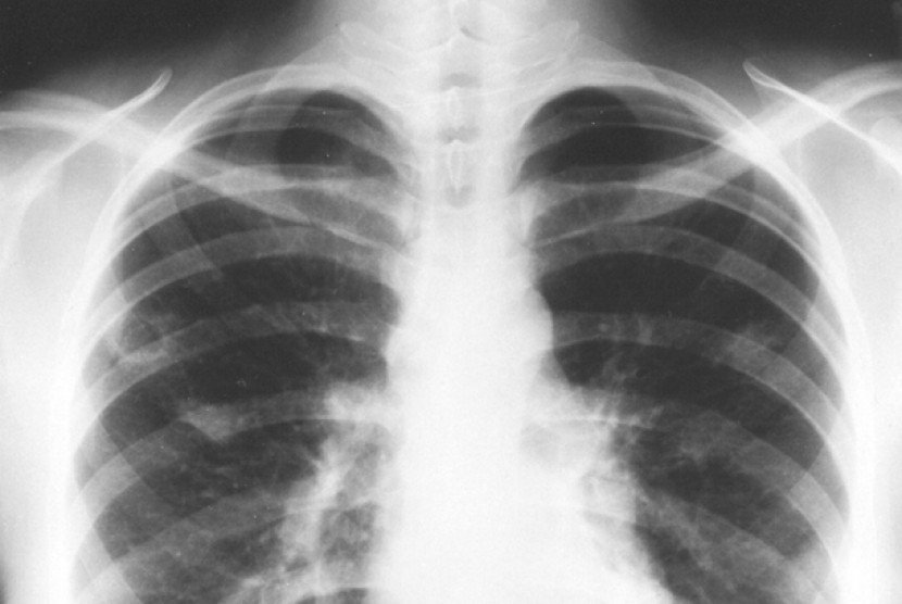
Flek paru paru adalah istilah awam yang digunakan untuk menyebut adanya bercak, bayangan, atau noda yang tampak tidak normal pada hasil foto rontgen (X-ray) dada, khususnya di area paru-paru. Dalam bahasa medis, dokter biasanya tidak menyebutnya sebagai “flek”, melainkan menggunakan istilah seperti lesi, infiltrat, nodul, fibrosis, atau istilah radiologis lain sesuai bentuk dan karakter gambaran yang terlihat.
Secara sederhana, flek paru paru bukanlah nama suatu penyakit, melainkan temuan pada pemeriksaan radiologi yang menunjukkan bahwa ada sesuatu di jaringan paru yang tampil berbeda dari paru normal. Bercak ini bisa tampak sebagai area yang lebih putih, lebih padat, mengabur, atau penebalan tertentu dibandingkan jaringan paru di sekitarnya. Karena itu, istilah “flek” lebih menggambarkan bentuk gambaran pada rontgen.
Tips OpiniDokter: Jika pada hasil rontgen Anda tertulis ada “flek paru paru” atau bayangan tidak normal, jangan langsung panik dan jangan menebak sendiri. Diskusikan kembali dengan dokter yang memeriksa Anda untuk mengetahui arti temuan tersebut, apa kemungkinan penyebabnya, dan apakah perlu pemeriksaan lanjutan.
Informasi selengkapnya? Klik di Sini
Dalam praktik klinis, keberadaan flek paru-paru harus selalu diinterpretasikan oleh dokter dengan mempertimbangkan keluhan pasien, hasil pemeriksaan fisik, dan bila perlu pemeriksaan penunjang lain. Satu gambaran flek yang sama pada rontgen bisa memiliki makna yang berbeda pada orang yang berbeda, tergantung konteks klinisnya. Itulah sebabnya, flek paru paru tidak bisa dijadikan dasar diagnosis tunggal tanpa penilaian menyeluruh.
Ringkasnya, flek paru paru adalah istilah umum untuk setiap bercak atau bayangan tidak normal yang tampak pada foto rontgen paru, dan bukan diagnosis akhir suatu penyakit. Istilah ini menjadi “tanda awal” yang kemudian perlu dijelaskan lebih lanjut oleh tenaga kesehatan untuk mengetahui apa makna sebenarnya dari gambaran tersebut pada masing-masing pasien.
Rekomendasi OpiniDokter: Karena flek paru-paru bukan diagnosis akhir, setiap temuan bercak atau bayangan pada rontgen, sesuai dengan keluhan, pemeriksaan fisik, dan hasil tes penunjang lain.
Temukan Solusi Alaminya? Klik di Sini
Secara keseluruhan, flek paru paru bukanlah nama penyakit, melainkan istilah awam untuk menggambarkan adanya bercak atau bayangan tidak normal pada hasil foto rontgen paru. Sebagai dukungan dari sisi herbal untuk membantu menjaga kenyamanan saluran pernapasan, Anda dapat mempertimbangkan Verdilla Bharata sebagai pendamping gaya hidup sehat, misalnya dengan istirahat cukup, menghindari asap rokok, dan menjaga kebersihan lingkungan.
Dukung kesehatan saluran pernapasan dengan Verdilla Bharata!


Untuk mendapatkan Verdilla Bharata, Kamu bisa mencari informasi lebih lanjut melalui marketplace terpercaya atau melakukan pencarian di Google.
